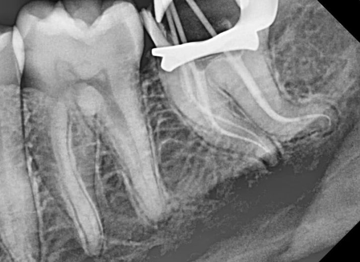
Severe curve:mandibular left second molar



______________________
دکتر حسین رسولی
تبریز – خیابان 17 شهریور جدید – روبروی کلینیک فرهنگیان – ساختمان پویا – طبقه سوم
تلفن: 04135568342
آدرس اینستاگرام:
(@dr.hosseinrasouli)
______________________
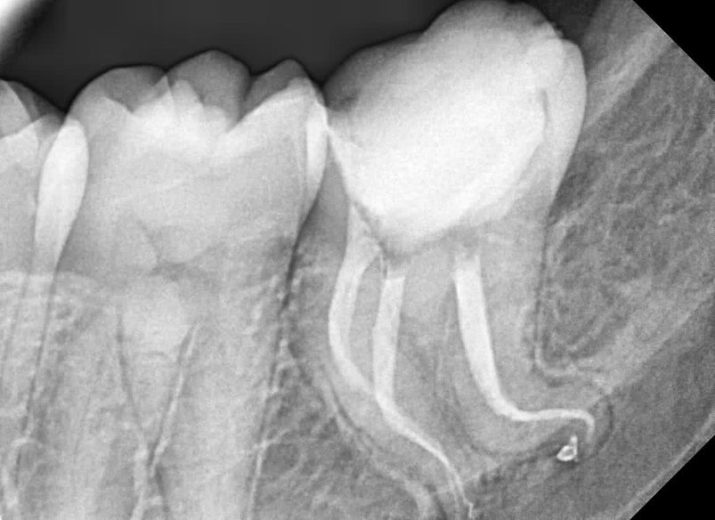
Severe curve:mandibular left second molar



______________________
دکتر حسین رسولی
تبریز – خیابان 17 شهریور جدید – روبروی کلینیک فرهنگیان – ساختمان پویا – طبقه سوم
تلفن: 04135568342
آدرس اینستاگرام:
(@dr.hosseinrasouli)
______________________