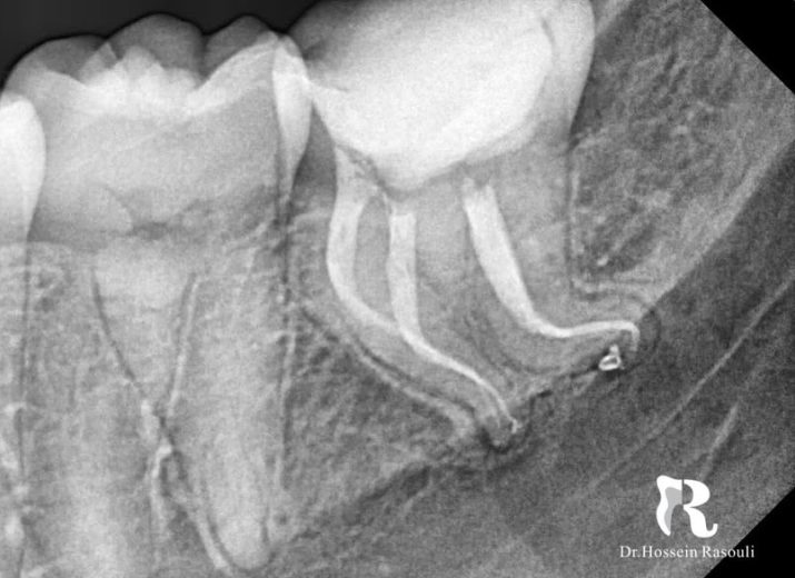
کانال‌های کِرو دار

Severe curve:mandibular second molar.

______________________
دکتر حسین رسولی
تبریز – خیابان 17 شهریور جدید – روبروی کلینیک فرهنگیان – ساختمان پویا – طبقه سوم
تلفن: 04135568342
آدرس اینستاگرام:
(@dr.hosseinrasouli)
______________________

پیام بگذارید

نشانی ایمیل شما منتشر نخواهد شد. بخش‌های موردنیاز علامت‌گذاری شده‌اند *